Preloader
Augame ir atsinaujiname – Burnos higienos klinika tampa KlinikaDent.
Augame ir atsinaujiname – Burnos higienos klinika tampa KlinikaDent.

Dantų kanalų gydymas
(Endodontija)

Tikslus endodontinis gydymas Vilniuje – išsaugome dantis, kuriuos kiti siūlo traukti. Naudojame vokišką optiką maksimaliam preciziškumui.

4.9 Google įvertinimas

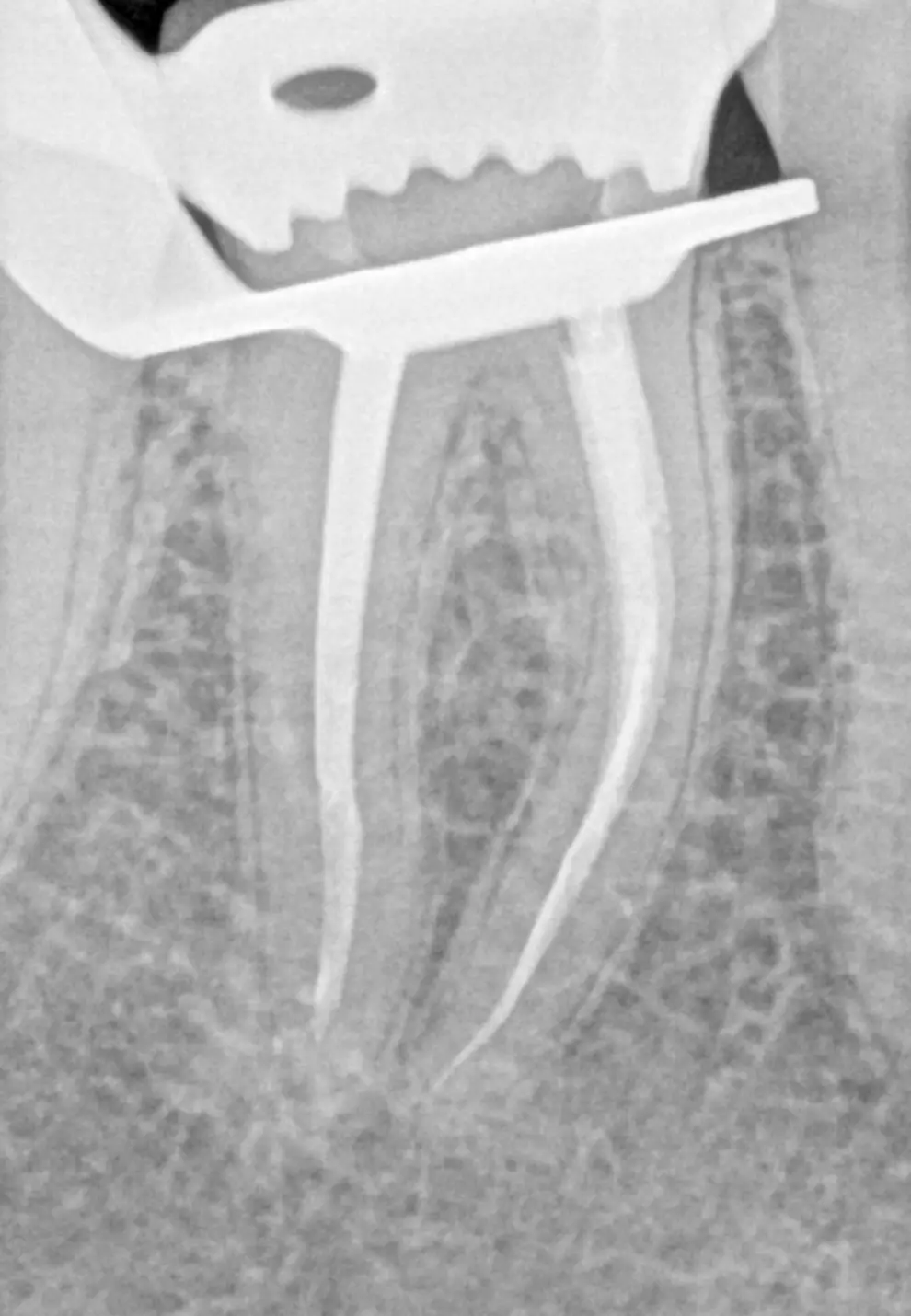
Screenshot 2026-04-16 at 11.57.34Screenshot 2026-04-16 at 11.58.37

Privalumai

Kam skirta?

Kam skirta?

Naudojama vokiška optika ir preciziškas mikroskopas užtikrina maksimalų gydymo tikslumą bei padeda sėkmingai išgydyti net sudėtingiausius šaknų kanalų atvejus.

Gydytojas odontologas Vilniuje
vilte-elena-vaitaite-odontologe

Mūsų komandą sudaro specializuoti gydytojai endodontai, kurie kasdien sprendžia sudėtingiausius kanalų gydymo atvejus. Dirbame su vokiška „Zeiss“ optika, užtikrinančia nepriekaištingą rezultatą.

Kainos

Nuskausminimas10 €
Danties kanalo pirminis gydymas (pilnas)85 €
Kanalo pergydymas (pilnas)100 €
Vaistų pakeitimas30 €
Nesusiformavusios viršūnės/perforacijos uždarymas MTA medžiaga55 €
SPK cementavimas100 €
Danties kulties atstatymas (rebilda)40 €
Laikina plomba15 €
Nejautra, koferdamas. 1.užpildas, RO nuotrauka50 €
MIKROSKOPAS. Danties revizija70 €
MIKROSKOPAS. Kanalo valymas70 €
MIKROSKOPAS. Kanalo plombavimas70 €
MIKROSKOPAS: 2 kanalai (70×2 + 70×2 + 50)330 €
MIKROSKOPAS: 3 kanalai (70×3 + 70×3 + 50)470 €
MIKROSKOPAS: 4 kanalai (70×4 + 70×4 + 50)610 €

Dantų kanalų gydymas Vilniuje – viena svarbiausių procedūrų, leidžiančių išsaugoti natūralų dantį ir išvengti jo šalinimo. Jei jaučiate stiprų danties skausmą, jautrumą ar pastebėjote danties patamsėjimą, tikėtina, kad reikalingas endodontinis gydymas.

 

Danties šaknies uždegimas

Danties šaknų kanalų gydymas reikalingas tada, kai dantis tampa jautrus temperatūrai, pasikeičia jo spalva ar atsiranda dantenų patinimas. Pagrindinis tikslas – sunaikinti mikroorganizmus šaknies kanalų sistemoje ir apsaugoti aplinkinius audinius nuo infekcijos plitimo į žandikaulio kaulą. Jei uždegimas negydomas, gali prireikti ir šalinti dantį.

Sveika šypsena

Dantų gydymas

Kanalų valymas mikroskopu

Kanalų gydymas mikroskopu – tai moderni procedūra, leidžianti efektyviai išspręsti danties pulpos uždegimą, vadinamą pulpitų. Mikroskopas padeda labai tiksliai pašalinti pažeistus audinius, atverti visus kanalus ir juos kokybiškai dezinfekuoti. Tai saugus būdas išsaugoti natūralų dantį net ir esant stipriam skausmui ar sudėtingai kanalų sistemai.

Kanalų valymas

Endodontijos pagalba

Kas yra endodontinis gydymas ir kada jis reikalingas?

Endodontinis gydymas (dar vadinamas dantų kanalų gydymu) – tai procedūra, kurios metu:

Ši procedūra leidžia išsaugoti net stipriai pažeistus dantis, kurie anksčiau būtų buvę šalinami.

Kaip atliekamas dantų kanalų gydymas?

Išsami diagnostika

Atliekama rentgeno ar 3D tomografija, leidžianti tiksliai įvertinti kanalų anatomiją.

Vietinis nuskausminimas

Procedūra yra komfortiška ir neskausminga.

Kanalų atvėrimas ir valymas

Pašalinama infekuota pulpa, kanalai dezinfekuojami.

Hermetiškas plombavimas

Užkertamas kelias pakartotinei infekcijai.

Danties restauracija

Atkuriama kramtymo funkcija ir estetika.

Dantų Kanalų gydymas (endodontija)

Dažniausios priežastys, kodėl reikalingas kanalų gydymas

Dantų kanalų gydymas Pašilaičiuose dažniausiai atliekamas dėl šių priežasčių:
Svarbu suprasti, kad skausmo nebuvimas nereiškia problemos nebuvimo – lėtiniai uždegimai dažnai vystosi tyliai.
Dantu kanalu gydymas vilniuje

Danties kanalo uždegimo simptomai

 Dažniausi simptomai, rodantys, kad gali būti reikalingas endodontinis gydymas:

Kanalų pergydymas reikalingas, jei:

Negydomas danties kanalo uždegimas gali sukelti žandikaulio kaulo nykimą, veido patinimą ar net bendras sveikatos komplikacijas.

Dantų kanalų gydymo kainos

Žemiau pateikiamas dantų kanalų (endodontinio) gydymo kainoraštis, kuriame nurodytos procedūros, kurių kainos prasideda nuo 30 €. Galutinė gydymo kaina priklauso nuo danties būklės, kanalų sudėtingumo bei naudojamos įrangos, pavyzdžiui, gydymo mikroskopu.

Kainoraštis
EndodontijaKainos
Nuskausminimas10 €
Danties kanalo pirminis gydymas (pilnas)85 €
Kanalo pergydymas (pilnas)100 €
Vaistų pakeitimas30 €
Nesusiformavusios viršūnės/perforacijos uždarymas MTA medžiaga55 €
SPK cementavimas100 €
Danties kulties atstatymas (rebilda)40 €
Laikina plomba15 €
Endodontija mikroskopu
Nejautra, koferdamas. l.užpildas, RO nuotrauka50 €
MIKROSKOPAS. Danties revizija70 €
MIKROSKOPAS. Kanalo valymas70 €
MIKROSKOPAS. Kanalo plombavimas70 €
MIKROSKOPAS: 2kanalai (70×2+70×2+50)330 €
MIKROSKOPAS: 3kanalai (70×3+70×3+50)470 €
MIKROSKOPAS: 3kanalai (70×4+70×4+50)610 €

Kodėl verta rinktis Klinika Dent?

Patyrę odontologai

Visos odontologijos paslaugos

Moderni diagnostika

Patogi lokacija Perkūnkiemio g. 17, Vilnius, Pašilaičiai

Teikiame paslaugas išsimokėtinai

Odontologijos klinika pašilaičiuose, Vilniuje

Skambinkite arba registruokitės

Registracija - konsultacija telefonu

+370 608 82656

    Dažniausiai užduodami klausimai (DUK) – dantų kanalų gydymas Vilniuje

    Dantų kanalų gydymas – tai procedūra, kurios metu iš danties vidaus pašalinama infekuota pulpa (nervai ir kraujagyslės), šaknų kanalai kruopščiai išvalomi, dezinfekuojami ir hermetiškai užpildomi. Tai leidžia išsaugoti natūralų dantį ir išvengti jo šalinimo.

    Kanalų gydymas būtinas, kai:

    • atsiranda stiprus ar pulsuojantis danties skausmas;
    • dantis jautrus karščiui ar šalčiui;
    • skauda kramtant;
    • dantenos patinusios ar susiformavo pūlinys;
    • dantis patamsėjo;
    • nustatomas lėtinis uždegimas be skausmo.


    Net ir nejaučiant skausmo, endodontinis gydymas gali būti būtinas, todėl svarbi laiku atlikta diagnostika.

    Ne. Šiuolaikinis dantų kanalų gydymas Vilniuje atliekamas taikant vietinę nejautrą, todėl procedūra yra komfortiška ir neskausminga. Po gydymo galimas tik laikinas jautrumas, kuris paprastai praeina per kelias dienas.

    Dantis gali turėti:

    • nuo 1 iki 4 šaknų;
    • kiekviena šaknis gali turėti 1–3 ar daugiau kanalų.

    Ypač sudėtingi yra krūminiai dantys, todėl kanalų gydymas mikroskopu leidžia tiksliai rasti ir išvalyti visus kanalus.

    Procedūros trukmė priklauso nuo:

    • kanalų skaičiaus;
    • uždegimo sudėtingumo;
    • ar reikalingas pergydymas.

    Dažniausiai gydymas trunka nuo 60 iki 120 minučių ir gali būti atliekamas per vieną arba kelis vizitus.

    Procedūros trukmė priklauso nuo:

    • kanalų skaičiaus;
    • uždegimo sudėtingumo;
    • ar reikalingas pergydymas.

    Dažniausiai gydymas trunka nuo 60 iki 120 minučių ir gali būti atliekamas per vieną arba kelis vizitus.

    Negyvas dantis – tai dantis, kurio nervas yra nekrozuotas. Toks dantis:

    • nebejaučia skausmo;
    • dažnai būna patamsėjęs;
    • jo viduje gali likti bakterijų.

    Net ir nejautrus dantis gali kelti pavojų sveikatai, todėl dažnai reikalingas kanalų gydymas arba pergydymas.

    Paprastai po gydymo:

    • 1–3 dienas gali būti lengvas jautrumas;
    • skausmas neturėtų stiprėti.

    Jeigu skausmas nepraeina, didėja arba atsiranda patinimas, būtina kreiptis į odontologą.

    Kanalų pergydymas reikalingas, jei:

    • infekcija atsinaujino;
    • ankstesnis gydymas buvo nekokybiškas;
    • liko neaptiktų kanalų;
    • aplink danties šaknį nyksta kaulas.

    Pergydymas mikroskopu leidžia pasiekti labai aukštą sėkmės rodiklį.

    Atidėliojimas nerekomenduojamas. Negydomas uždegimas gali sukelti:

    • pūlinį;
    • veido patinimą;
    • žandikaulio kaulo nykimą;
    • danties netekimą;
    • bendras organizmo infekcijas.

    Laiku atliktas kanalų gydymas leidžia išvengti rimtų komplikacijų.

    Taip, endodontiškai gydytas dantis tampa trapesnis, todėl dažnai rekomenduojama:

    • atkurti dantį plomba;
    • arba protezuoti vainikėliu.

    Tai padeda apsaugoti dantį nuo lūžimo.